Behandlinger

Behandlinger som forbedrer tannstilling, bitt og stabilitet over tid.

Bestill time

Hvorfor regulering kan være aktuelt

Hos Signe Storesund AS vurderes tannstilling og bitt for å se om det er behov for korrigering. Regulering kan være aktuelt ved bittfeil, trangstilling eller andre forhold som påvirker funksjon, utvikling eller tannstilling. Det tas stilling til om behandling er nødvendig, og når den eventuelt bør starte.

01.

""

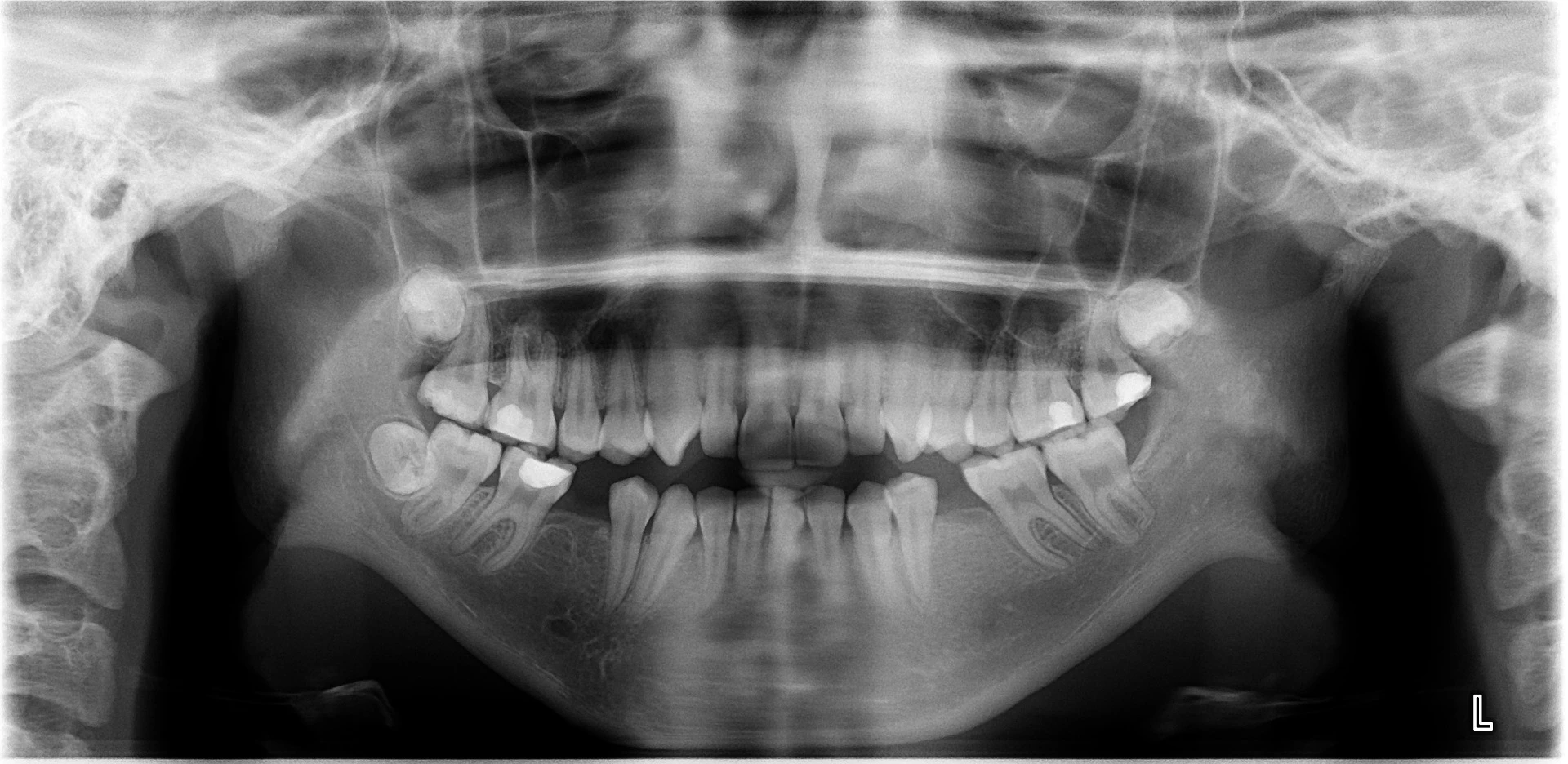
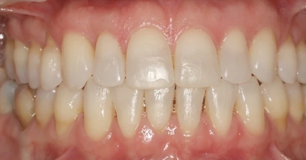
Før behandlingen starter

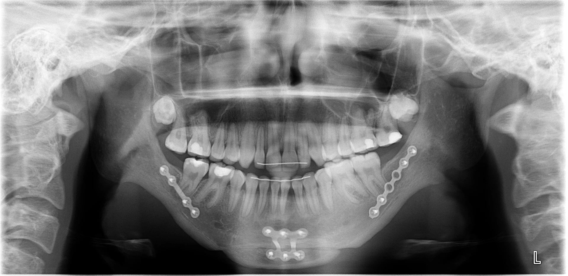
Før oppstart av tannregulering gjennomfører vi en grundig undersøkelse og dokumentasjon av bitt og tannstilling. Dette danner grunnlaget for en individuell behandlingsplan som vi går grundig gjennom sammen med pasient og foreldre. Denne planen fungerer som en formell kontrakt som signeres før behandlingen starter, noe som sikrer full gjennomsiktighet og trygghet for alle parter. Kontrakten inneholder spesifikke detaljer om diagnosen, hvilken type regulering som anbefales, samt forventet oppstart og varighet for behandlingen. Her spesifiseres også de faktiske egenandelskostnadene etter refusjon, slik at dere som foreldre til enhver tid har full oversikt over de økonomiske rammene før dere signerer.

Det er viktig å være klar over at den planlagte behandlingstiden forutsetter et godt samarbeid med pasienten. Dersom instruksjoner ikke følges, eller hvis tannpuss og hygiene er mangelfull, vil dette kunne forlenge behandlingsforløpet. Vi følger derfor opp tannhygienen ved hver eneste konsultasjon for å sikre at fremdriften holdes og at resultatet blir optimalt.

02.

""

Behandlingstid

Behandlingstiden for fast tannregulering er normalt ca. 2 år. Den faktiske varigheten vurderes individuelt og avhenger blant annet av bittfeilens alvorlighetsgrad og det valgte behandlingsopplegget. For yngre barn starter vi ofte med en innledende fase med vekststimulerende platebehandling for å legge til rette for riktig utvikling av kjeven.

Et vellykket resultat til avtalt tid krever godt teamarbeid mellom oss, pasienten og foreldrene. Det er avgjørende at pasienten følger instruksjoner om bruk av for eksempel strikk og plater, og møter trofast til alle avtalte timer. Dersom oppfølgingen svikter, vil behandlingstiden kunne forlenges.

Ulike typer regulering

Vi benytter ulike former for reguleringsapparatur, avhengig av behandlingsbehov.

Tenner med Damon braces på den ene siden og tradisjonell tannregulering på den andre

Fast regulering

Vi benytter utelukkende moderne, selvligerende tannregulering (Damon-teknikk). Dette er en avansert metode der strengen holdes på plass av små, innebygde låser i brankettene. Dette gir ofte en mer behagelig opplevelse for pasienten og kan i mange tilfeller bidra til en mer effektiv tannregulering.

Avtagbare plater i rosa farge ved rosa oppbevaringsboks

Avtakbar apparatur

Avtakbare plater kan benyttes som del av behandlingen, enten som innledende behandling eller i kombinasjon med fast apparatur.

Quad Helix regulering på tenner i overkjeve

Annen apparatur

Ved behov benyttes også annen reguleringsapparatur, blant annet Quad Helix og tommelfingersperre. Valg av apparatur tilpasses bitt og tannstilling.

Slik foregår behandlingen

""

Under behandlingsperioden

Under behandlingen følges pasienten opp med kontroller, veiledning om tannhygiene og bruk av apparatur. Dersom noe løsner eller gir ubehag, tas dette opp ved kontroll eller ved å kontakte klinikken.

""

Når aktiv behandling er avsluttet og pasienten går inn i kontrollfasen

Etter avsluttet aktiv behandling med streng legges det vekt på å bevare resultatet. Pasienten får retensjonsutstyr etter instruksjon, med plater og strenger i både over- og underkjeven. Videre oppfølging avtales for å sikre stabil tannstilling. Pasient og foresatte innkalles til gjennomgang av behandlingen.

Vil du vite mer om hva som skjer før, under og etter behandlingen? På pasientinformasjonssiden finner du alt du trenger.

Se pasientinfomasjon

Vårt arbeid

Alle pasienter som vises har gitt skriftlig samtykke til at bildene kan brukes på klinikkens nettside.

Ønsker du en vurdering av behov for tannregulering, kan du ta kontakt med klinikken for time til konsultasjon.

Kontakt oss